Como Saber Se Quebrei O Pulso? Sinais De Fratura

Descubra como saber se quebrei o pulso, quais sintomas observar e por que o diagnóstico correto faz diferença no tratamento.

Descubra como saber se quebrei o pulso, quais sintomas observar e por que o diagnóstico correto faz diferença no tratamento.

Fratura de boxer é o nome dado à quebra do colo do 5º metacarpo, o osso que liga o dedo mínimo ao punho. Ela costuma acontecer depois de um soco em superfície rígida, mas também pode surgir após quedas, pancadas…

Fratura de Bennett é uma lesão na base do primeiro metacarpo que alcança a articulação do polegar. Afeta a pinça e o aperto, com dor ao segurar objetos, abrir tampas ou girar a chave. Neste guia, apresento as causas, sinais…

A fratura de metacarpo é uma lesão comum que atendo com frequência em minha prática clínica, principalmente entre pessoas ativas, trabalhadores manuais e praticantes de esportes de contato. Os metacarpos são os ossos longos da mão que ligam o punho…

A fratura de escafoide é uma das lesões mais comuns entre as fraturas do punho, especialmente em pessoas jovens e ativas. Na minha prática clínica na área de ortopedia de lesões das mãos, recebo muitos pacientes com dor persistente no…

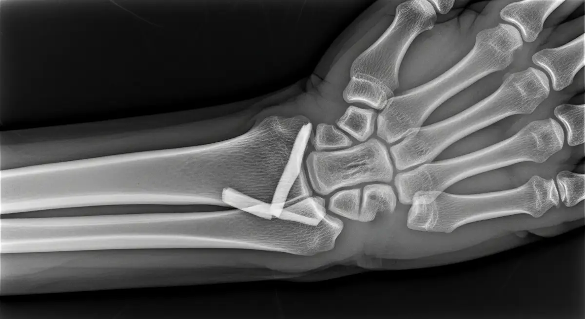
Como ortopedista especializado em cirurgia de mão em Goiânia, tenho a oportunidade de tratar uma variedade de lesões, mas as fraturas do rádio são particularmente comuns e um tanto desafiadoras. Localizadas na região distal do osso, essas fraturas afetam a…